EVO视讯集团
中文
|
English
搜索
EVO视讯集团
关于我们
返回
公司简介
资质证书
社会责任(愿景)
合作客户
小动物技术服务
返回
消化系统
返回
呼吸系统
返回
神经系统
返回
心血管系统
返回
内分泌代谢/免疫系统
返回
骨科系统
返回
皮肤系统
返回
肿瘤模型
返回
炎症/疼痛模型
返回
自身免疫疾病模型
返回
大动物技术服务
返回
骨科类
返回
皮肤类
返回
心胸外科类
返回
肿瘤类
返回
影像服务类
返回
医疗器械评价
返回
医美产品有效性评价
量效关系和能量安全研究
美容仪检测服务
医疗器械植入试验
医疗器械生物相容性测试
功能实验室
返回
动物平台
返回
细胞平台
返回
生化检测平台
返回
病理检测平台
返回
分子与蛋白平台
返回
行为学平台
返回
仪器展示
返回
产品中心
返回
细胞
返回
抗体
空白基质
饲料垫料
新闻中心
联系我们
EVO视讯集团
关于我们
返回
公司简介
资质证书
社会责任(愿景)
合作客户
小动物技术服务
返回
消化系统
返回
呼吸系统
返回
神经系统
返回
心血管系统
返回
内分泌代谢/免疫系统
返回
骨科系统
返回
皮肤系统
返回
肿瘤模型
返回
炎症/疼痛模型
返回
自身免疫疾病模型
返回
大动物技术服务
返回
骨科类
返回
皮肤类
返回
心胸外科类
返回
肿瘤类
返回
影像服务类
返回
医疗器械评价
返回
医美产品有效性评价
量效关系和能量安全研究
美容仪检测服务
医疗器械植入试验
医疗器械生物相容性测试
功能实验室
返回
动物平台
返回
细胞平台
返回
生化检测平台
返回
病理检测平台
返回
分子与蛋白平台
返回
行为学平台
返回
仪器展示
返回
产品中心
返回
细胞
返回
抗体
空白基质
饲料垫料
新闻中心
联系我们
中文
|
English
小动物技术服务
消化系统
肝硬化模型
非酒精性脂肪肝
结直肠癌模型
脓毒症模型
胆结石模型
急性肝衰竭动物模型
呼吸系统
肺炎模型
肺纤维化模型
哮喘模型
鼻炎模型
神经系统
缺血性脑梗模型
缺血性脑梗模型(假手术)
脊髓横断模型
蛛网膜下腔出血模型
新生鼠缺血缺氧性脑损伤模型
心血管系统
心梗模型
慢性心衰模型
动静脉旁路血栓
心肌肥大模型(TAC)
小鼠免疫性心肌炎模型
DOCA-Salt高血压大鼠模型
两肾一夹小鼠模型
动脉粥样硬化模型
心肌缺血再灌注模型
内分泌代谢/免疫系统
1型糖尿病模型
2型糖尿病模型
糖尿病肾病模型
糖尿病心肌病模型
肥胖模型(DIO模型)
高尿酸血症模型
骨科系统
骨质疏松模型(雄)
前交叉韧带重建模型
骨缺损模型
骨折模型
皮肤系统
深II度烫伤模型
冻伤模型
银屑病模型
皮肤瘢痕模型
皮肤衰老模型
全层皮肤缺损
糖尿病皮损模型
特应性皮炎
肿瘤模型
皮下CDX模型
尾静脉白血病CDX模型
尾静脉骨髓瘤CDX模型
原位乳腺癌CDX模型
原位胰腺癌CDX模型
皮下PDX模型
炎症/疼痛模型
大鼠关节炎模型
大鼠痛经模型
大鼠佐剂性关节炎模型
小鼠EAE模型
急性痛风性关节炎模型
自身免疫疾病模型
类风湿性关节炎模型
桥本甲状腺炎模型
系统性红斑狼疮模型
您当前的位置:
小动物技术服务
>
呼吸系统
>
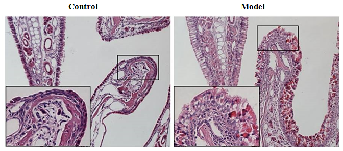
鼻炎模型
鼻炎模型
过敏性鼻炎小鼠模型
READ MORE