EVO视讯集团

全层皮肤损伤模型

栏目:全层皮肤损伤模型 发布时间:2024-04-23
全层皮肤损伤模型


皮肤缺损是常见的研究大小鼠皮肤损伤及修复的模型。创伤从表皮、真皮不断蔓延到皮下脂肪,有时深及筋膜和肌肉,甚至侵犯到肌腱和骨骼,测量其深度大部分至少大于1 cm

实验动物信息

动物模型名称:

全层皮肤缺损模型

动物的种属、品系:

小型巴马猪

动物性别:

动物年龄:

成年

动物体重:

20-30kg左右

造模方法:

物理损伤

观察指标 

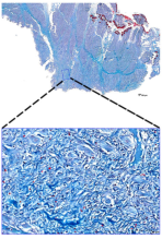
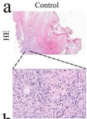
(1创面大体观察创面溃烂、出血、伴有渗出液、创面低于正常皮肤,后期表现为肉芽组织增生,创面收缩

(2)创面愈合率;病理检测。、


部分结果展示



  


上一篇: 深II度烫伤模型
下一篇: 没有了